全瓷貼片,打造完美亮白微笑曲線
隨著審美意識的抬頭,越來越多人在意自己的外觀,從而透過醫美微整形來達到心中的完美比例,但你知道嗎?牙齒與嘴型佔了其實臉部很大的比例,只要擁有精緻的臉蛋和亮白整齊的牙齒,不論在哪裡都是焦點,笑容讓人印象深刻!
牙齒有缺角、蛀牙、黃斑、茶漬污垢堆積等瑕疵怎麼辦?別擔心,陶瓷貼片都可以解決!想改變牙齒外觀的你,或許聽過陶瓷貼片這個名詞,但是否不清楚它和全瓷冠、牙齒美白、噴砂美白的區別呢?想了解陶瓷貼片的原理、費用等細節,找回自信笑容,就不要錯過以下的 6 大 Q&A 介紹!
Q1: 陶瓷貼片是什麼?
陶瓷貼片在坊間有很多種名稱,例如全瓷貼片、瓷牙貼片、牙齒貼片、美白貼片、美齒貼片等。一般來說「陶瓷貼片=全瓷貼片=瓷牙貼片」,指的是在前牙美觀區使用專業技術,將厚度約0.3-0.5mm的陶瓷貼片緊密貼合在真牙上。陶瓷貼片如同為您量身打造的「牙齒微整形」,像在牙齒上戴上一副美麗的「隱形眼鏡」,可以快速改變原先的牙齒缺陷(如泛黃、脫鈣、齒色不均等),甚至改變牙齒形態,讓你擁有完美微笑曲線。
而「美白貼片」通常是使用樹脂或其他低陶瓷含量的材質製成,這些貼片可在藥妝店購買,或是由無醫療背景的美容院施作。與陶瓷貼片相比,樹脂貼片在美觀和材質上都有很大差異,耐用性差且易引發牙齦發炎。
因此,若有牙齒貼片或美白需求,建議尋求專業醫師的治療,避免不專業且不安全的操作。

Q2: 陶瓷貼片有何優點?適合我嗎?
一個漂亮自信的笑容通常決定了我們給人的第一印象。嘴巴和牙齒視覺上佔了臉部的三分之一,如果滿口黃牙、染色不均,或有明顯牙縫和缺損,其實都會直接影響外表與自信,也降低別人對你的印象。
陶瓷貼片能快速有效地改變牙齒外觀與形態,實現「一勞永逸的美白牙齒與外觀改變」。從此可以放心開懷大笑、亮出自我,不用再遮遮掩掩了!如果你有以下牙齒困擾,可與郭光哲醫師討論,評估是否適合做陶瓷貼片。

- 牙齒顏色不均,反覆補牙或蛀牙:小時候的蛀牙導致反覆補牙,補牙樹脂久了會色素沈澱,使門牙顏色不均。笑起來的時候常被誤認為牙齒沒刷乾淨或口腔清潔習慣差。郭光哲醫師建議使用陶瓷貼片,達成一致齒色,讓笑容健康又自然。
- 門牙間齒縫過大:門牙中間的齒縫在亞洲審美中不討喜,許多人會選擇用樹脂填補,但久了會變色也可能因為邊緣不密合導致蛀牙或牙周病。利用陶瓷貼片可以完整修復齒縫,重建牙齒外型,並創造密合邊緣,長期使用也沒問題。
- 門牙長期使用磨損或缺角:門牙的磨損或缺角在視覺上會顯得老氣沒精神。嚴重缺損可能有隱形裂痕充斥在牙齒齒質中,長期不理會會增加牙齒斷裂的風險。重視臉部外觀時,千萬別讓門牙暴露你的年齡。
- 齒列輕微不整:些微不整齊可能導致臉部不對稱或增加蛀牙風險。陶瓷貼片可以在一定範圍內調整外型和排列,無需長時間矯正即可獲得整齊牙齒和完美笑容。
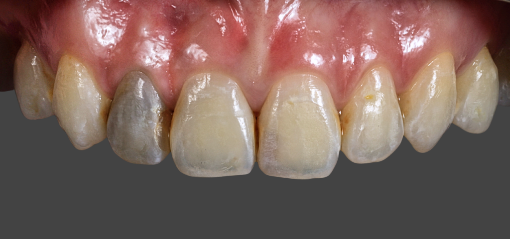
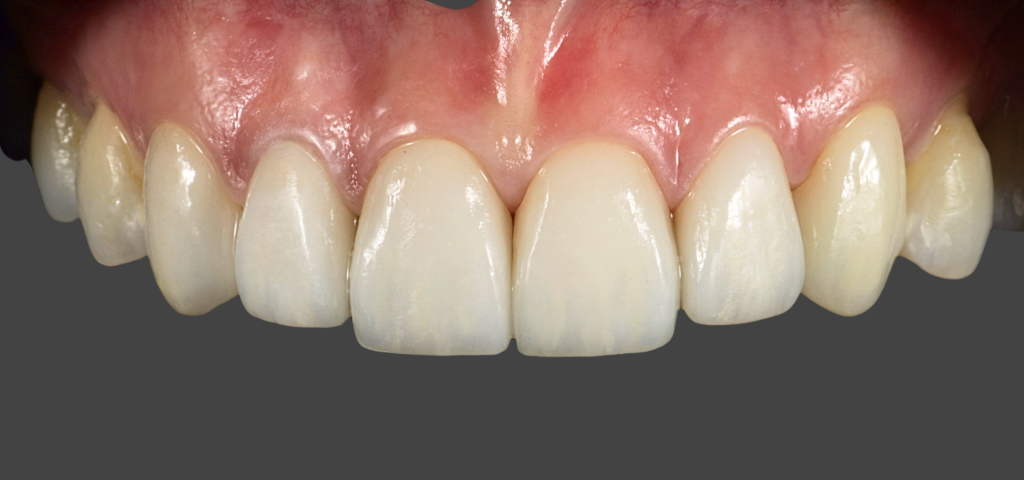
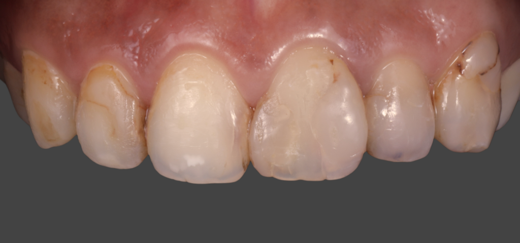
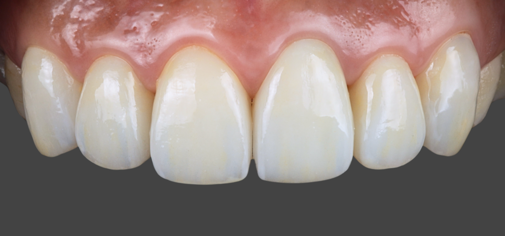
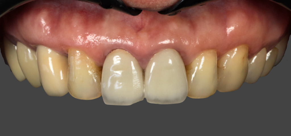
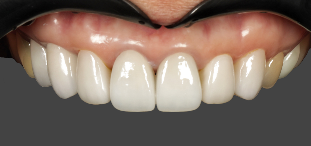
以下案例為郭光哲醫師實際臨床治療案例。


牙齒表面脫鈣,根管治療過牙齒嚴重變色。利用全瓷貼片達成一致齒色,笑得更健康。


原有假牙反覆補牙邊緣變色,齒縫不當補牙導致比例錯誤大小不均、蛀牙。利用陶瓷貼片重建自信笑容。


舊牙冠不堪使用缺角,同時利用陶瓷貼片創造年輕白皙笑容,從此告別老氣大黃牙。
Q3: 陶瓷貼片與全瓷冠有何差別?
陶瓷貼片和全瓷冠均由「全陶瓷」材質製成,兩者兼具牙齒美白和前牙美觀區形狀的作用。主要區別在於外型和覆蓋範圍:陶瓷貼片只需將一塊貼片貼在牙齒表面,所以不需修磨太多齒質;全瓷冠則如同安全帽(牙冠)包覆整顆牙齒,故需修磨較多齒質。
全瓷/陶瓷貼片 | 全瓷冠 | |
---|---|---|
製作原料 | 陶瓷 | 陶瓷或二氧化鋯 |
適合對象 | 齒質較健康(未經根管治療/未嚴重受損/輕微蛀牙) | 受損較嚴重的牙齒(做過根管治療/嚴重蛀牙/嚴重斷裂) |
治療方式 | 輕薄地修磨牙齒後,在外側貼上猶如螢幕保護貼般輕薄的貼片(0.3-0.5mm) | 必須依牙齒狀態修磨較多健康的齒質,在牙齒套上如同安全帽般的牙套,來全方位保護脆弱的牙齒 |
Q4: 陶瓷貼片與其他美白方式有何差別?
現今有很多牙齒美白方式,如:居家美白、冷光美白、噴砂美白。但美白療程結束後,會因為個人生活、飲食習慣的不同,影響牙齒亮白的持久度,想達到長期的效果,往往需要藉由定期的回診來維護、保養,並定期施作美白療程。
如果藉由全瓷貼片療程,即可打造耐用且美觀的牙齒,一但選定陶瓷貼片的顏色後,未來是不會因為飲食,深色飲料導致變色,是想節省美白所需費用及時間者的首選。
現今有很多牙齒美白方式,如:居家美白、冷光美白、噴砂美白等,但美白效果因個人生活和飲食習慣而異,需要定期回診維護。如果選擇陶瓷貼片療程,即可打造耐用且美觀的牙齒,未來不會因飲食變色,是節省美白費用和時間的首選。
陶瓷貼片 | 噴砂美白 | 醫療級冷光美白 | |
---|---|---|---|
製作原料 | 陶瓷 | 碳酸氫鈉粉(小蘇打粉) | 利用歐美進口美白藥劑美白(非一般美白電聯夾藥劑)牙齒,同時去除牙齒因長時間使用內部沈積的黃色 |
治療方式 | 輕薄地修磨牙齒後,在外側貼上猶如螢幕保護貼般輕薄的貼片(0.3-0.5mm)。貼片顏色終身不變 | 將碳酸氫鈉粉加壓噴出,去除牙齒外部染色(茶漬、咖啡漬、煙垢),回復原本牙齒的齒色 | 先利用材料保護牙齦,再將適當濃度的美白藥劑塗抹在珐瑯質外部。最後利用特殊波長之藍光驅動美白藥劑,去除牙齒內部染色達成亮白。 |
適用患者 | 門牙齒色不均、補牙樹脂變色、門牙齒縫過大、門牙磨損缺角、齒列輕微不整 | 常喝茶、咖啡或抽菸的患者 | 常喝茶、咖啡,天生齒色較黃的患者 |
Q5: 陶瓷貼片療程要多久?
許多主打一天內快速完成貼片的療程,是使用數位口掃機技術建立牙齒模型,並搭配3D齒雕研磨機製作。然而,一日貼片追求迅速,但細節處理彈性較小,也需修磨較多齒質(最少0.5mm),根據郭光哲醫師的臨床經驗,有些患者反應會有後遺症。郭光哲醫師追求極致的細節呈現,根據患者需求客製療程計畫,以確保最佳效果。因此每位患者療程時間長度不一,通常取完模型後,等待陶瓷貼片製作需兩週,期間會佩戴臨時貼片度過這段製作時間。

Q6: 陶瓷貼片如何保養?
清潔保養陶瓷貼片很簡單,像照顧真牙一樣即可。郭光哲醫師會為陶瓷貼片療程的患者們贈送夜間磨牙保護器,因為新的貼片外型和舊有的牙齒不完全相同,患者可能會出現短時間磨牙的狀況,因此初期配戴夜間磨牙保護器就顯得非常重要,等到口腔適應後就可以減少配戴。做好日常清潔維護,長久保持亮白笑容。
保養概念 | 實際操作 |
---|---|
良好口腔清潔習慣 | 飯後確實刷牙,並使用牙線清潔牙縫 |
避免啃咬硬物 | 陶瓷貼片硬度和真牙一樣,但頻繁啃咬太過堅硬的食物,會增加貼片損毀及瓷崩機率 |
佩戴夜間磨牙保護器 | 初期睡覺建議持續配戴夜間磨牙保護器。若原本就有磨牙習慣,睡前必須戴上夜間磨牙保護噐,避免破壞貼片完整性和磨損牙齒 |
定期回診檢查 | 定期回診檢查陶瓷貼片的完整性,以維持牙齒的整體健康 |
